CABINET DE CHIRURGIE DENTAIRE SOURIS-MOI
CHIRURGIENS-DENTISTES À NANCY
CABINET DE CHIRURGIE DENTAIRE SOURIS-MOI

22 Rue du Haut Bourgeois
54000 NANCY

CHIRURGIENS-DENTISTES À NANCY

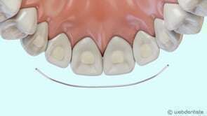
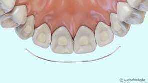
Fil de contention


video-play-icon

Articles similaires

Création par Webdentiste

Connexion